来自天门的陈师傅因胸闷干咳症状严重,于12月15日紧急求诊于武汉市肺科医院。该院呼吸二病区医生梅敏慧检查发现,陈师傅患上了罕见的外源性类脂性肺炎,而罪魁祸首竟是他常常用嘴吸取的柴油。原来,陈师傅是个农机手,经常用胶管吸油桶里的柴油,通过虹吸原理给农机加油。医生提醒,这种方法不可取,严重可导致呼吸衰竭,危及生命。

梅敏慧(右1)正在为一名住院患者检查
“医生,你快帮我看看,我胸闷得不行了。”昨日,在武汉市肺科医院呼吸科诊室,一阵干咳后,来自天门的陈师傅向武汉市肺科医院呼吸二病区医生梅敏慧求助说,“我常用嘴吸柴油,通过这种方式,把油桶里的油加到农机里,有几次不小心呛了几口。当时没觉得怎样,现在渐渐憋得不行,你看这病,是不是因为这个原因。”
听闻陈师傅的描述,梅敏慧立即想到,陈师傅很可能患上了外源性类脂性肺炎。她一边提醒陈师傅,这种加油方式太危险,一边安排他去做相应的检查。

呛入柴油的陈师傅肺内支气管、肺泡等都造成了严重损伤
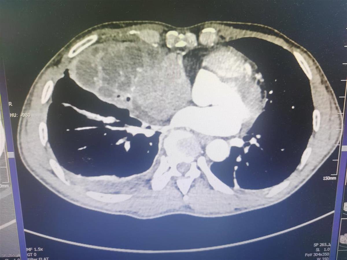
果然,CT影像下,陈师傅的右肺有大面积低密度区显示,右肺支气管有狭窄,右肺中叶实变明显。该院胸外科参与会诊后认为,可先进行气管镜探查,清理气道分泌物,之后,在控制炎症后,择机进行手术处理。
利用气管镜,梅敏慧医生从陈师傅的肺内吸出大量脓状分泌物。
梅敏慧说,通过CT影像和气管镜探查,可以发现,呛入陈师傅肺内的柴油给支气管、肺泡等都造成了严重损伤。好在通过气管镜清理后,再给予激素类药物抗炎,陈师傅的症状明显改善。返回病房后,陈师傅原先短促的呼吸逐渐变得平稳起来。
梅敏慧提醒,通过嘴吸油管,给车辆加油的方式非常不可取。因为,柴油属于有机溶剂,和细胞组织有相溶的特性,吸入肺后,可破坏肺泡表面活性物质,损伤支气管和肺泡上皮细胞,使肺泡血管通透性增高,进而导致肺泡渗出增多,发生类脂性肺炎。这种化学性肺损伤如果治疗不及时,很可能导致呼吸衰竭,危及生命。
另外,柴油中含有烷烃、环烷烃、烯烃、芳香烃、多环芳烃以及少量硫、氮及添加剂等有害物质,除引发常规的类脂性肺炎外,误吸者还可出现毒物中毒,危害巨大,可引起多器官功能衰竭、凝血障碍等危险情况。
除了柴油,生活中,还有不少情况也可以引发类脂性肺炎。此前,该院呼吸二病区陈淑芳医生曾接诊过一位因误吸鱼肝油胶囊入肺,而发生类脂性肺炎的案例。陈淑芳说,呛入肺内的鱼肝油胶囊,不但可能堵塞支气管,引发窒息风险。胶囊溶化后,鱼肝油进入支气管、肺泡,还会引发了严重的类脂性肺炎。遇到类似情况,市民应及时就医。
(图片由武汉市肺科医院提供)














